Closing the gap
or should I say reclosing the gap?
Stage 1. Initial Situation

Patient presented with pre-existing composite restorations closing the spaces between the incisor teeth. However, Patient complained that a piece of the composite between the centrals was chipped and the composite between the right central and lateral incisor broke and fell off.
Stage 2. Assessment & Planning
Upon further assessment of the case, it was found that the original composite broke because the lower canine occludes in the space between the right lateral incisor & the right canine. It was decided in order to achieve proper shade matching all the existing composite will be removed and replaced and to avoid the repetition of the composite failure, only a labial shell will be built in the space between the right lateral and the canine.

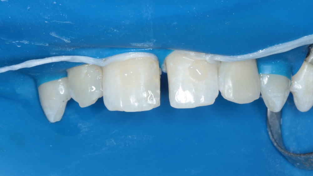
Stage 3. Let's get down to business

Rubber Dam isolation was used. Old composite was removed and Beautifil II LS was chosen as the new composite material. Shade A1 (on the right) was chosen. Sectional matrices were used as guidance while closing the spaces.
Stage 4. Finishing off
Of course, further finishing and polishing was performed restoring proper shape & contour and ensuring the surface is smooth to prevent any calculus build up. Patient was very happy with the end result and didn't experience any problem in occlusion related to the canine area mentioned before.

Stage 5. Two weeks Follow up

Patient came in again after 2 weeks for follow up. Composite was checked again for any signs of failure. Also, the labial shell used on the right lateral was successful in achieving the esthetic result intended while not interfering with the lower canine during occlusion.


Wonderful work, Dr. Ali!! Keep it up!
Thanks a lot!!