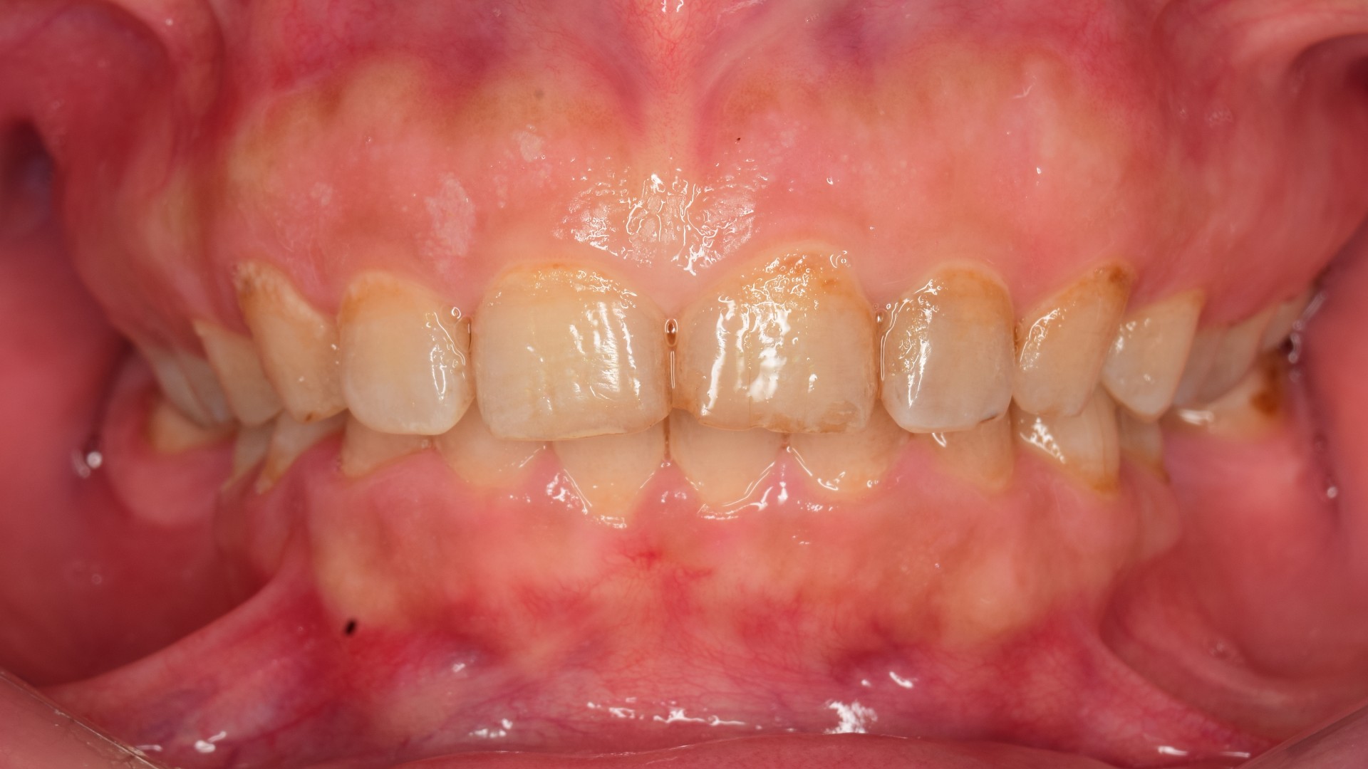
Trending Cases

Closing the gap Picture
By Dr.Ali AlaaAdded on December 2025

Closing the gap

or should I say reclosing the gap?

Patient presented with pre-existing composite restorations closing the spaces between the incisor teeth. However, Patient complained that a piece of t...

Read More
Composite fracture Picture
By Dr.Dina EzzeldinAdded on December 2025

Composite fracture

Sometimes replacement is the answer

Patient presented with an old composite restoration closing the space between the lateral incisor and the canine. A demarcation line was also present ...

Read More
Direct or Indirect? Picture
By Dr.Dina EzzeldinAdded on January 2026

Direct or Indirect?

That's the question

Patient presented with back to back amalgam restorations in the upper right first and second premolars. Patient suffered from discomfort & transient p...

Read More
Faulty composite replacement Picture
By Dr.Dina EzzeldinAdded on January 2026

Faulty composite replacement

Sometimes indirect restorations are the answer

Patient presented with an old composite restoration in an endodontically treated tooth which caused him discomfort in occlusion along with gingival ir...

Read More
Gummy Smile? Picture
By Dr.Dina EzzeldinAdded on December 2025

Gummy Smile?

Not a problem

Female patient presented with a complaint about her gummy smile. After further diagnosis, it was determined that gingivectomy was the best course of a...

Read More
Caries in a MIH Molar Picture
By Dr.Ali AlaaAdded on December 2025

Caries in a MIH Molar

Compund Caries with a twist

Patient Presented to the operative clinic at Ain shams university complaining of sudden pain in her lower teeth. Upon examination caries were found re...

Read More
Simple Class II Picture
By Dr.Ali AlaaAdded on December 2025

Simple Class II

They are never that simple

Patient presented with caries in the distal aspect of the upper right 1st premolar. Pain was related to the lesion upon stimulus and only for a few se...

Read More
Simple Class III Picture
By Dr.Ali AlaaAdded on December 2025

Simple Class III

Easy peasy

Patient presented with caries in the medial aspect in the labial surface of the upper right lateral incisor. No symptoms related to the lesion. Spotte...

Read More
Simple Class V Picture
By Dr.Ali AlaaAdded on December 2025

Simple Class V

Not a problem

Patient presented with caries in the gingival third of the upper right 1st premolar. No pain was related to the tooth, only an esthetic concern...

Read More