Direct or Indirect?
That's the question
Stage 1. It's always Amalgam.

Patient presented with back to back amalgam restorations in the upper right first and second premolars. Patient suffered from discomfort & transient pain.
Stage 2. Out with the old.
Both Amalgam restorations were completely removed establishing a proper enamel margin while maintaining pulp vitality. The cavity was excessively large in the second premolar compromising both marginal ridges.

Stage 3. Restoration Choice

Further analysis of the situation was needed to determine whether to go for a direct or indirect restoration of the second premolar. A caliber was used to measure the base thickness of the buccal and lingual walls.
Stage 4. Restoration Choice
Both walls were found to be greater than 2 mm in thickness. Therefore, a direct restoration using composite was chosen

Stage 5. One contact at a time. Distal second premolar.

The distal contact of the second premolar was restored first using ring matrix to establish proper contact.
Stage 6. Mesial second premolar.
Same goes for the mesial contact.

Stage 7. Distal first premolar.

Finally, the distal contact of the first premolar was restored.
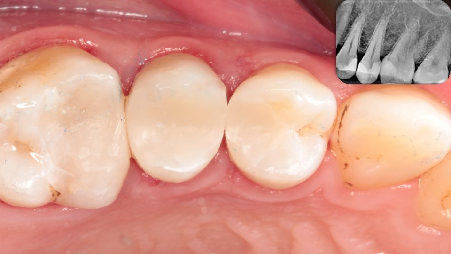
Stage 8. In with the new.
Further finishing & polishing was done to ensure proper margins, surface smoothness, contacts and occlusion. Patient was extremely satisfied with the results and after two weeks follow up, the original symptoms were resolved.



No comments yet, but you can always be the first